Biópsia é um exame microscópico de uma amostra de um tecido biológico vivo a procura de sinais de patologias como o câncer, infecção, doença degenerativa e efeitos adversos de um tratamento médico quimioterápico ou radioterápico. A retirada do tecido alvo da biópsia podem ser feita, de modo geral, através de uma cirurgia ou por aspiração com uso de uma agulha. Após a retirada da amostra, ela passa por uma série de procedimentos histológicos que culminarão com a montagem de lâminas que serão analisadas pelo patologista, que emitirá um laudo concluindo se no tecido observado há alterações que indique alguma patologia.
Exemplo da importância de uma biópsia?
1. Uma mulher após o auto-exame de mama detecta nódulos endurecidos, o que a preocupa muito, pois pode ser um sinal de câncer de mama.
Figura: Auto-exame de mama - Click para ampliar.
2. Preocupada procura um médico que indica a realização de uma mamografia.
3. A mamografia revela alterações no tecido mamário que podem indicar o desenvolvimento de um câncer de mama, mas também podem indicar outras patologias.
Figura: Mamografia normal.
Figura: mamografia com suspeita de câncer
4. É indicada a realização de uma biópsia.
Figura: Retira de uma amostra do nódulo da mama.
5. Através da análise laboratorial do tecido mamário extraído na biópsia pode se detectar se o nódulo é devido à presença de um cisto mamário, um tumor benigno ou maligno.
Figura: Tecido mamário normal.
Figura: Tecido mamário com aspecto indicando a presença de cistos mamários.
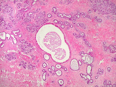
Figura: Tecido mamário com aspecto canceroso.
6. Baseado no resultado da biópsia indica-se o tratamento mais apropriado.
Vídeo explicando como ocorre uma biópsia de mama.
Vídeo explicando como ocorre uma biópsia de mama.








Este comentário foi removido pelo autor.
ResponderExcluirmi vida es hermosa gracias a ti, mein helfer. señor jesús en mi vida como luz de una vela en la oscuridad. me mostraste el significado de la fe con tus palabras. Sé que incluso cuando lloré todo el día pensando en cómo recuperarme, no estabas durmiendo, eras querido para mí. Me puse en contacto con el centro de hierbas dr itua, que vivía en África occidental. un amigo mío aquí en hamburgo también es de África. me habló de las hierbas africanas pero yo estaba nervioso. Tengo mucho miedo cuando se trata de África porque escuché muchas cosas terribles sobre ellos debido a mi cristianismo. dios por la dirección, da un paso audaz y ponte en contacto con él en el correo electrónico y luego pasa a whatsapp, me preguntó si puedo ir para recibir tratamiento o si quiero una entrega, le dije que quería conocerlo, compro el boleto en 2 formas de África para conocer al dr. itua, fui allí y me quedé sin palabras de la gente que vi allí. patente, gente enferma. itua es un dios enviado al mundo, le dije a mi pastor lo que estoy haciendo, pastor bill scheer. tenemos una verdadera batalla bellamente con el espíritu y la carne. adoración esa misma noche. oró por mí y me pidió que dirigiera. pasé 2 semanas y 2 días en áfrica en dr itua herbal home. después del tratamiento, me pidió que me encontrara con su enfermera para la prueba del vih cuando me la hice. fue negativo, le pedí a mi amigo que me llevara a otro hospital cercano cuando llegué, fue negativo. estaba demasiado blanco con el resultado, pero feliz dentro de mí. fuimos con el dr. itua, le agradezco pero le explico que no tengo suficiente para demostrarle mi aprecio, que entiende mi situación, pero le prometo que dará fe de su buen hacer. gracias a dios por mi querida amiga, emma, sé que podría estar leyendo esto ahora, quiero agradecerte. y muchas gracias al dr. centro herbolario itua. me dio su calendario que puse en la pared de mi casa. Dr. itua también puede curar las siguientes enfermedades, vih, herpes, enfermedades neuromusculares, hepatitis b, hígado inflamatorio, diabetes, enfermedad inflamatoria intestinal, fibromialgia, recupera a tu ex. puede contactarlo por correo electrónico o drituaherbalcenter@gmail.com, ..www.drituaherbalcenter.com .. es un buen médico, hable con él amablemente. Estoy seguro de que él también te escuchará.
ResponderExcluir